روکش دندان کودک یکی از رایجترین درمانهای دندانپزشکی اطفال است که برای حفظ و نگهداری دندانهای آسیبدیده کودکان استفاده میشود. بسیاری از والدین با شنیدن نام “روکش دندان” نگران میشوند، اما این درمان یکی از ایمنترین و موثرترین روشها برای حفظ سلامت دهان و دندان کودکان است. در این مقاله جامع از سایت دکتر نجمه اخلاقی، بهترین دندانپزشک اطفال با بیهوشی در اصفهان، تمام آنچه باید درباره انواع روکش دندان کودکان بدانید را به زبان ساده توضیح خواهیم داد.
روکش دندان کودک چیست و چه کاربردی دارد؟
روکش دندان کودک یک پوشش مصنوعی است که روی دندان آسیبدیده یا پوسیده قرار میگیرد تا از تخریب بیشتر آن جلوگیری کند. این درمان بهویژه برای دندانهای شیری که دچار پوسیدگی گسترده شدهاند، بسیار کاربردی است. بسیاری از والدین تصور میکنند چون دندانهای شیری میافتند، نیازی به درمان نیست، اما این دندانها تا زمانی که دندانهای دائمی جایگزین شوند، نقش مهمی در جویدن، صحبت کردن و حفظ فضا برای دندانهای دائمی دارند.
چه زمانی کودک به روکش دندان نیاز دارد؟
- وقتی پوسیدگی دندان گسترده است و پرکردن ساده کافی نیست
- پس از عصبکشی دندان شیری که ساختار دندان ضعیف شده است
- دندان شکسته یا آسیبدیده در اثر ضربه
- دندانهایی که دچار نقص مینا هستند
- کودکان با ریسک بالای پوسیدگی دندان
انواع روکش دندان کودکان
انواع روکش دندان کودکان بسته به محل دندان، میزان آسیب و سن کودک متفاوت است. در ادامه به بررسی هر یک از این انواع میپردازیم:

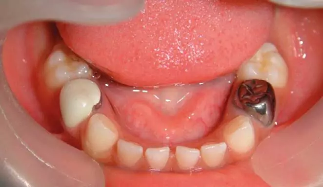
روکش استیل(نقره ای )
مناسب برای: دندانهای خلفی(آسیاب ها)
دوام: بسیار بالا![]()
زیبایی: ظاهر فلزی ![]()
قیمت: 1.5 تا 2 میلیون تومان

روکش سرامیکی
مناسب برای: دندانهای دائمی کودکان
دوام: بسیار بالا![]()
زیبایی: کاملا طبیعی ![]()
قیمت: 4 تا 7 میلیون تومان

روکش کامپوزیت(سفید)
مناسب برای: دندانهای جلویی
دوام: متوسط به بالا ![]()
زیبایی:طبیعی ![]()
قیمت: 2 تا 3.5 میلیون تومان

روکش زیرکونیوم
مناسب برای: استحکام بالا+زیبایی
دوام: عالی ![]()
زیبایی:عالی![]()
قیمت: 5 تا 8 میلیون تومان
جدول مقایسه انواع روکش دندان
| ویژگی | استیل | کامپوزیت | سرامیک | زیرکونیوم |
|---|---|---|---|---|
| سرعت نصب | یک جلسه | یک جلسه | دو جلسه | دو جلسه |
| مقاومت در برابر پوسیدگی | عالی | خوب | عالی | عالی |
| مناسب دندان جلو | خیر | بله | بله | بله |
| اقتصادی بودن | بله | بله | گران | گران |
روکش استیل دندان شیری (روکش نقرهای دندان کودک)
روکش استیل دندان شیری که به نام روکش نقرهای دندان کودک هم شناخته میشود، رایجترین و مقرونبهصرفهترین نوع روکش برای دندانهای شیری است. این روکشها از فولاد ضدزنگ ساخته شده و به شکل پیشساخته موجود هستند.
مزایای روکش استیل دندان شیری
- دوام و استحکام بسیار بالا
- نصب سریع و آسان (معمولاً در یک جلسه)
- هزینه پایینتر نسبت به سایر روکشها
- مقاومت در برابر پوسیدگی
- مناسب برای دندانهای خلفی (آسیابها)
معایب روکش دندان شیری استیل
- ظاهر فلزی و غیرطبیعی
- ممکن است باعث حساسیت موقت زبان شود
- برای دندانهای جلویی مناسب نیست
- در برخی موارد ممکن است لق شود یا بیفتد

روکش دندان دائمی کودکان
روکش دندان دائمی کودکان برای دندانهای دائمی اولیه که زودتر از موعد رشد کردهاند، استفاده میشود. این روکشها معمولاً از مواد سرامیکی یا زیرکونیوم ساخته میشوند و ظاهری طبیعیتر دارند. روکش دندان زیر ۱۸ سال معمولاً به صورت موقت است تا زمانی که رشد فک کامل شود و ایمپلنت یا روکش دائمی قابل نصب باشد.
انواع روکش دندان دائمی کودکان
- روکش سرامیکی: ظاهری کاملاً طبیعی و زیبا
- روکش زیرکونیوم: استحکام بالا و زیبایی مناسب
- روکش کامپوزیت: گزینهای میانی از نظر قیمت و کیفیت
- روکش فولادی با روکش سفید: ترکیبی از استحکام و زیبایی
روکش دندان شیری جلو
برای دندانهای جلویی شیری که نیاز به روکش دارند، معمولاً از روکشهای زیبایی استفاده میشود. روکش دندان شیری جلو میتواند از جنس کامپوزیت سفید رنگ یا سرامیک باشد تا ظاهری طبیعی داشته باشد. این روکشها علاوه بر حفاظت از دندان، به زیبایی لبخند کودک هم کمک میکنند.
نمونه های درمانی ترمیم و روکش دندان شیری کودک با بیهوشی توسط دکتر نجمه اخلاقی
هزینه و قیمت روکش دندان کودک فروردین 1405
هزینه روکش دندان کودک به عوامل مختلفی بستگی دارد: نوع روکش، تعداد دندانها، شهر و کلینیک دندانپزشکی، و وضعیت بیمه کودک. در ادامه جدول قیمت تقریبی را مشاهده میکنید:
| نوع روکش | قیمت تقریبی (تومان) |
| روکش استیل دندان شیری (هر دندان) | ۱,۵۰۰,۰۰۰ – ۲,۵۰۰,۰۰۰ |
| قیمت روکش استیل دندان شیری (با بیمه) | ۸۰۰,۰۰۰ – ۱,۵۰۰,۰۰۰ |
| روکش کامپوزیت دندان شیری | ۲,۰۰۰,۰۰۰ – ۳,۵۰۰,۰۰۰ |
| روکش دندان دائمی کودکان (سرامیک) | ۴,۰۰۰,۰۰۰ – ۷,۰۰۰,۰۰۰ |
| روکش دندان عصبکشی شده کودک | ۳,۰۰۰,۰۰۰ – ۵,۰۰۰,۰۰۰ |
| هزینه چسباندن مجدد روکش | ۵۰۰,۰۰۰ – ۱,۰۰۰,۰۰۰ |
هزینه روکش دندان عصبکشی شده
هزینه روکش دندان عصبکشی شده معمولاً ۲۰ تا ۳۰ درصد بیشتر از روکش دندان سالم است. دلیل این امر، نیاز به آمادهسازی بیشتر دندان و استفاده از مواد پرکننده داخلی است. در تهران، هزینه روکش دندان عصبکشی شده کودکان بین ۳ تا ۵ میلیون تومان متغیر است.
هزینه چسباندن مجدد روکش دندان
اگر روکش دندان کودک لق شود یا بیفتد، میتوان آن را مجدداً چسباند. هزینه چسباندن مجدد روکش دندان فروردین 1405 معمولاً بین ۵۰۰ هزار تا ۱ میلیون تومان است. اگر روکش آسیب دیده باشد، ممکن است نیاز به ساخت روکش جدید باشد که هزینه بیشتری دارد.
معایب و مزایای روکش دندان شیری
درک کامل مزایا و معایب روکش دندان شیری به والدین کمک میکند تصمیم آگاهانهتری بگیرند:
مزایای اصلی روکش دندان شیری
- حفظ دندان تا زمان افتادن طبیعی
- جلوگیری از انتقال عفونت به دندانهای دائمی
- حفظ فضا برای رشد دندانهای دائمی
- کمک به تغذیه مناسب کودک
- جلوگیری از مشکلات گفتاری
- افزایش اعتمادبهنفس کودک
معایب روکش دندان شیری
- ممکن است کودک در روزهای اول احساس ناراحتی کند
- احتمال لق شدن روکش دندان شیری وجود دارد
- نیاز به مراقبت بیشتر از دندان
- در برخی موارد ممکن است روکش بیفتد
- برخی کودکان ممکن است از ظاهر آن راضی نباشند.
مراقبتهای بعد از روکش دندان
مراقبت صحیح از روکش دندان کودک میتواند عمر آن را افزایش دهد و از مشکلات احتمالی جلوگیری کند:
توصیههای مهم مراقبتی
- مسواکزدن مرتب– روزی دو بار با مسواک نرم
- نخ دندان کشیدن– با دقت و به آرامی
- اجتناب از غذاهای چسبنده– آبنبات، تافی و آجیل
- کاهش مصرف قند– نوشیدنیهای گازنی و شیرینی
- مراجعه منظم– هر ۶ ماه یک بار به دندانپزشک
مشکلات رایج: لق شدن و افتادن روکش دندان
یکی از نگرانیهای رایج والدین، لق شدن روکش دندان شیری یا افتادن روکش دندان کودک است. این مشکلات میتوانند دلایل مختلفی داشته باشند:
دلایل لق شدن روکش دندان شیری
- جویدن غذاهای سفت و چسبنده
- آسیب به دندان در اثر ضربه
- پوسیدگی باقیمانده زیر روکش
- نامناسب بودن سایز روکش
- چسب ضعیف یا نادرست
چه کنیم اگر روکش دندان کودک افتاد؟
اگر روکش دندان کودک افتاد، اولین کار این است که آن را پیدا کنید و تمیز کنید. سپس در اسرع وقت با کلینیک دندانپزشکی تماس بگیرید. تا زمان مراجعه، از کودک بخواهید از آن طرف دهان غذا بخورد و از مواد غذایی سفت و چسبنده اجتناب کند. هرگز سعی نکنید روکش را خودتان بچسبانید، چون ممکن است باعث آسیب به دندان شود.
نتیجهگیری
روکش دندان کودک یک درمان ایمن و موثر برای حفظ دندانهای آسیبدیده است. انتخاب نوع مناسب روکش بسته به محل دندان، سن کودک و بودجه خانواده متفاوت است. روکش استیل دندان شیری گزینهای مقرونبهصرفه و بادوام برای دندانهای خلفی است، در حالی که روکش دندان شیری جلو باید از مواد زیباییتر ساخته شود. با رعایت مراقبتهای لازم و مراجعه منظم به دندانپزشک، میتوان از لق شدن روکش دندان شیری و افتادن روکش دندان کودک جلوگیری کرد. اگر سوالی درباره روکش دندان زیر ۱۸ سال دارید، با دندانپزشک متخصص اطفال مشورت کنید.
برای مشاوره رایگان و تعیین وقت ویزیت، با کلینیک دندانپزشکی دکتر نجمه اخلاقی تماس بگیرید. ما با کادری مجرب و محیطی دوستانه برای کودکان، بهترین خدمات دندانپزشکی را ارائه میدهیم.
سوالات متداول درباره روکش دندان کودک
آیا روکش دندان شیری ضروری است؟
بله، اگر دندان شیری دچار پوسیدگی گسترده یا آسیب شده باشد، روکش ضروری است. دندانهای شیری تا زمانی که دندانهای دائمی جایگزین شوند، نقش مهمی در سلامت دهان دارند.
آیا روکش دندان کودک درد دارد؟
خیر، نصب روکش دندان کودک دردناک نیست. دندانپزشک قبل از شروع کار، بیحسی موضعی تزریق میکند. ممکن است کودک پس از اتمام بیحسی، کمی ناراحتی داشته باشد که با مسکنهای ساده قابل کنترل است.
چقدر طول میکشد تا روکش دندان نصب شود؟
نصب روکش استیل دندان شیری معمولاً در یک جلسه ۳۰ تا ۶۰ دقیقهای انجام میشود. روکشهای زیبایی ممکن است نیاز به دو جلسه داشته باشند.
آیا روکش دندان کودک باید عوض شود؟
روکش دندان شیری معمولاً تا زمانی که دندان بیفتد، نیازی به تعویض ندارد. اما باید هر ۶ ماه یک بار توسط دندانپزشک بررسی شود.
آیا کودک میتواند با روکش دندان غذا بخورد؟
بله، کودک میتواند با روکش دندان غذا بخورد. اما در روزهای اول بهتر است از غذاهای نرم استفاده شود و از غذاهای سفت، چسبنده یا خیلی گرم و سرد اجتناب شود.
آیا روکش دندان روی دندان دائمی تأثیر میگذارد؟
خیر، روکش دندان شیری هیچ تأثیر منفی روی دندان دائمی زیرین ندارد. در واقع با حفظ فضا، به رشد صحیح دندان دائمی کمک میکند.




